Mit maximalem Ergebnis, den Aufwand gegen Null reduzieren.
Monolithische Restaurationen sind längst salonfähig geworden. In wie weit die durch Maltechnik aufgetragene Farbe inklusive Tiefenwirkung gegenüber einer keramischen Schichtung bestand hat, wird sich erst im Laufe der Jahre beweisen.
Doch auch geschichtete Restaurationen können durch ein alltagstaugliches Schichtkonzept auf effiziente Weise umsetzbar sein, ohne dabei die ästhetischen Ansprüche zu vernachlässigen. Dies gilt für den Front- wie auch den Seitenzahnbereich.
Aber nicht nur ästhetische Aspekte kommen in der Keramik zum Tragen, ebenso ausschlaggebend sind das Erkennen und berücksichtigen von funktionsbedingten Auffälligkeiten. Von ihnen hängt nicht nur die Gestaltung der Zahnwandungen oder okklusaler Flächen ab, sie vermeiden funktionsbedingte Abplatzungen, die häufig mit Chipping verwechselt werden.
Damit keramische Restaurationen nicht nur funktionell-/ ästhetischen sondern auch wirtschaftlichen Ansprüchen gerecht werden, bedarf es eines kontrollierbaren Schichtkonzeptes, welches eine klare Form- und Farbgebung – auch bei geringen Platzverhältnissen – zulässt.
Kursschwerpunkte
- Auf Spurensuche im Restgebiss
- Okklusionskonzept nach Jochen Peters
- Die 3 F`s: Farbauswahl, Farbaufbau, Farbsicherheit
- Mit wenigen Massen, Steuerung von Helligkeit, Chroma und Opaleszenz
- Klare Form- und Farbgebung für den Front- und Seitenzahnbereich
- Funktionelle Gestaltung palatinaler Zahnanteile / Anlegen von Leisten und
- Kontaktpunkten
- Kontrollierbare Schichtung, auch bei geringen Platzverhältnissen
- Vermeidung von Rissbildungen
- Okklusalflächen, die wenig ausgearbeitet werden müssen
- Textur und Oberflächenglanz
Kursziel
- Mit minimalem Aufwand, maximale Ergebnisse erzielen
Folgende Materialien / Hilfsmittel stellen wir bereit:
- Keramikmassen und Pinsel (bitte dennoch eigene Pinsel / Instrumente mitbringen;
auf Wunsch können auch – mit entsprechender Brenntabelle – eigene Keramikmassen mitgebracht werden) - USB Stick für jeden Teilnehmer mit wichtigen Infos
Status
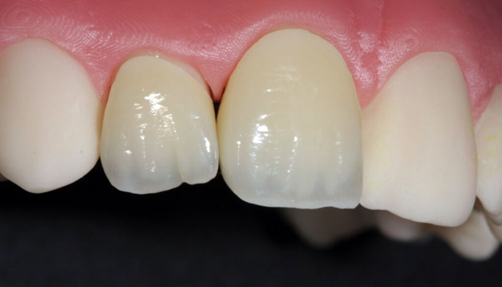
Verblendet werden die Zähne : 11, 12, 24 und 26
Kursorte und Termine 2025
05. – 06.03.2025 / Kleinmeinsdorf
19. – 20.05.2025 / Remscheid
22. – 23.09.2025 / Remscheid
19. – 20.11.2025 / Kleinmeinsdorf
Weitere Termine auf Anfrage
